تقـــارير
-
بحضور فريق التوجيه والرقابة الرئاسي .. اختتام فعاليات المهرجان الثقافي التراثي الثاني بالمهرة 2025 .
اختتمت مساء أمس الخميس بمدينة الغيضة فعاليات المهرجان الثقافي التراثي الثاني 2025م ، بحضور فريق التوجيه والرقابة الرئاسي برئاسة…
أكمل القراءة » -
تشكيل لجان متخصصة لمراقبة الأسعار في عموم أرخبيل سقطرى
متابعات قرر محافظ أرخبيل سقطرى، المهندس رأفت الثقلي، الخميس، تشكيل لجان رئيسية وفرعية متخصصة لمراقبة وضبط الأسعار في عموم المحافظة.…
أكمل القراءة » -
محافظ سقطرى يعتمد أبجدية “ألف باء” للغة السقطرية في خطوة تاريخية
متابعات أصدر محافظ محافظة سقطرى المهندس رأفت علي الثقلي، اليوم الخميس، القرار رقم (9) لسنة 2025م، القاضي باعتماد مخرجات…
أكمل القراءة » -
تجارة بالأرواح واستغلال للمرضى.. غضب واسع جراء استمرار شركات الأدوية في رفع الأسعار (تقرير)
تواجه شركات الأدوية في عدن ومحافظات الجنوب موجة استنكار واسعة، بعد تماديها في رفع أسعار الدواء رغم تحسن…
أكمل القراءة » -
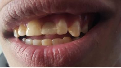
شاب في الـ17 من عمره في شبوة يصنع سناً اصطناعياً بجهود بدائية ويثير دهشة أطباء الأسنان
شبوة ـ عتق في حادثة لافتة أثار شاب يبلغ من العمر 17 عاماً إعجاب ودهشة أحد أطباء الأسنان بعد…
أكمل القراءة » -
أبرز ماورد في حديث أنور التميمي المتحدث الرسمي للمجلس الانتقالي الجنوبي لوكالة الأنباء الروسية ( ريا نوفوستي ) :
المناطق التي تؤمنها القوات الجنوبية هي أكثر المناطق أمنا في الجمهورية ، وإلا لما لجأ إليها أكثر من خمسة…
أكمل القراءة » -
مؤسسة سفراء الخير للتنمية الأعمال الإنسانية تنظم محاضرة توعوية حول الرضاعة الطبيعية بأبين
أبين /حمدي العمودي اقيمت اليوم الخميس بمحافظة أبين محاضرة توعوية حول الرضاعة الطبيعية بمناسبة اليوم العالمي للرضاعة الطبيعية لعدد من…
أكمل القراءة » -
سيول جارفة تجتاح أودية تريم وغرفة الطوارئ تحذر المواطنين
متابعات أطلقت غرفة الطوارئ والإنذار المبكر بمديرية تريم تحذيراً عاجلاً للسكان، بعد تدفق سيول جارفة في معظم أودية المديرية، من…
أكمل القراءة » -
انطلاق حملة لإزالة مخلفات البناء واتخاذ إجراءات صارمة ضد المخالفين في مدينة عتق.
تنفيذاً لتوجيهات محافظ محافظة شبوة، رئيس المجلس المحلي، عوض محمد بن الوزير، بدأت الفرق الفنية التابعة لمكتب الأشغال العامة…
أكمل القراءة » -
مسؤول بوزارة الداخلية يتابع جاهزية الدفاع المدني لمواجهة تأثيرات المنخفض الجوي
متابعات اطلع وكيل وزارة الداخلية لقطاع الخدمات المدنية، اللواء الركن عبدالماجد برك العامري، على مستوى الجاهزية والاستعدادات التي تقوم بها…
أكمل القراءة »